Kaela Plastika
Enne

Pärast

Rasva siirdamine põse ja oimu piirkonda
Enne

Pärast

Kulmude tõstmine
Enne


Pärast


Ülahuule hemangioomi kirurgiline eemaldamine
Enne


Pärast


Alalõua ja otsmiku implantaatide paigaldamine
Enne

Pärast

Genioplastika osteotoomia ja lõuatsi nihutamise teel
Enne Pärast


Üla- ja alalaugude plastika, botoxi kogu näole ning täitesüst
Enne

Pärast

Ninaselja korrektsioon täitesüstiga
Enne Pärast


Sügav SMAS facelift kaela plastikaga, otsmiku tõstmine ja alalaugude plastika
Enne

Pärast

Alalaugude plastika
Enne



Pärast



Ülalaugude blefaroplastika
Enne


Pärast


Botuliintoksiin otsmikule, täitesüst nasolabiaalvoldile, ülalaugude plastika
Enne


Pärast


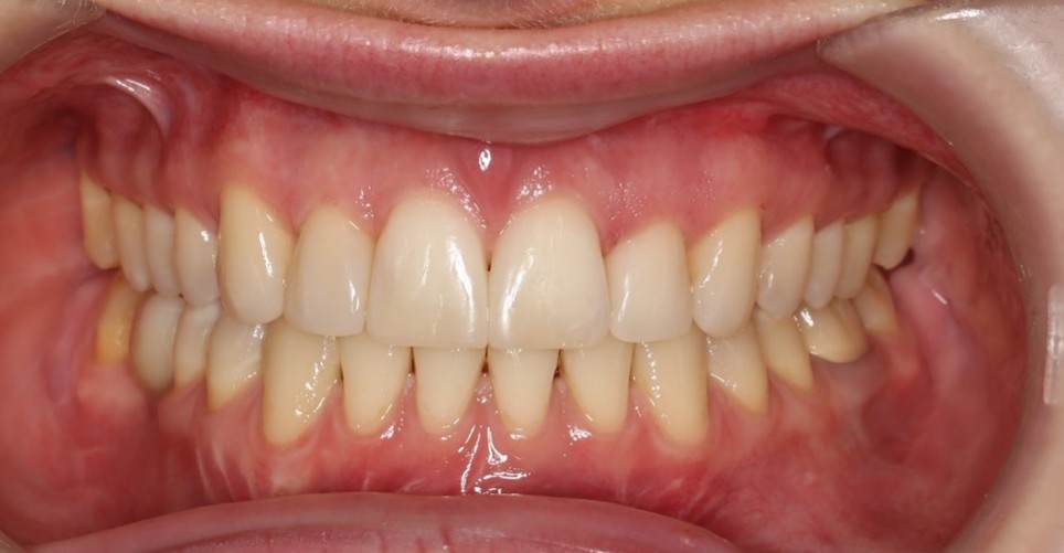
Kahe lõualuu ortognaatne operatsioon
Enne



Pärast





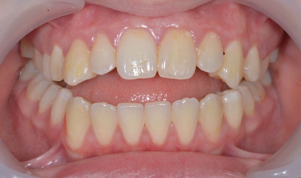
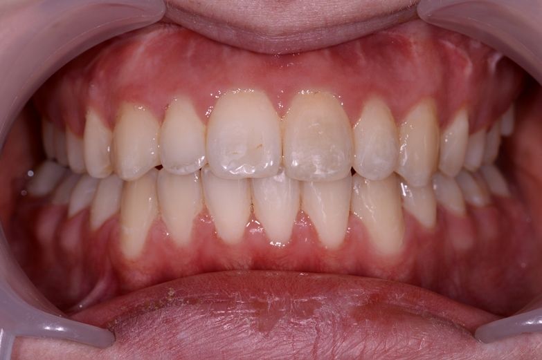
Kahe lõualuu ortognaatne operatsioon genioplastikaga
Enne




Pärast






Kolju plastika trigonotsefaalia raviks
Enne


3 kuu pärast


3 aasta pärast


Kahepoolne alalõualiigese endoproteesimine ja Le Fort I osteotoomia
Enne Pärast







